Depo-Provera brain tumor symptoms are easy to overlook because they start slowly, yet spotting them early can protect your health. A 2024 British Medical Journal study found that women who stay on the birth-control shot for more than a year have a 5.6-times higher risk of developing meningiomas—tumors that grow in the protective membranes around the brain and spinal cord.
Top symptoms to watch for
Most meningiomas are benign, but their location can still cause serious disability. Medroxyprogesterone acetate (the synthetic hormone in Depo-Provera) is believed to fuel growth in these hormone-sensitive tumors.
According to the same 2024 study, roughly 5 in 10,000 long-term Depo users develop a meningioma versus 1 in 10,000 non-users.
I'm Tim Burd, founder of Justice Hero. After years of connecting injured patients with qualified attorneys, I've seen how missed Depo-Provera brain tumor symptoms can devastate families when drug makers fail to give clear warnings.

Learn more key terms:
Many signs creep in so gradually they look like everyday complaints. Here are the most common early warnings:
Doctors also watch for pseudotumor cerebri, a condition that raises brain pressure but isn’t an actual tumor.
| Symptom | Meningioma | Pseudotumor Cerebri |
|---|---|---|
| Headaches | Constant, worse on waking | Severe, behind eyes |
| Vision | Blurred, double, field loss | Light sensitivity, transient loss |
| Nausea/Vomiting | Possible with pressure | Frequent, movement-related |
| Seizures | Can occur | Rare |
| Hearing | Tinnitus or loss | Pulsating whooshing sound |
Symptoms don’t follow a strict timeline—some appear after 18 months, others after several years of shots.
Tumor-related headaches come from intracranial pressure. They often start small, resist over-the-counter pain relievers, feel worst on waking, and may pair with nausea or vomiting. Any headache that steadily ramps up over weeks—especially with other neurological changes—deserves prompt medical review.
Meningiomas can press on the optic nerves, causing blurry sight, double images (diplopia), or new light sensitivity. Because optic-nerve damage can become permanent, any progressive vision change while using Depo-Provera warrants an immediate eye and neuro exam.
A tumor can trigger electrical misfires in brain tissue. Some seizures are dramatic, but many show up as brief staring spells, involuntary jerks, or a single hand twitching. Even a first-time mild seizure is an emergency sign that needs rapid evaluation.
Growth near the auditory nerve can create constant buzzing or gradual hearing loss, often coupled with dizziness. Because symptoms creep up slowly, many patients chalk them up to mild ear trouble—another reason routine changes should be checked quickly.
Pressure on the frontal lobe may leave you feeling mentally "hazy." You might reread emails, lose track of appointments, or notice friends saying you seem irritable or flat. If brain fog persists along with other signs on this list, ask about imaging.
Unlike stroke symptoms that strike suddenly, tumor-related weakness or tingling often builds over weeks. Dropping objects, heavy legs, or facial droop that gradually worsens can indicate the tumor is pressing on motor pathways.
Meningiomas in the olfactory groove can erase smell (anosmia) and dull taste. Phantom odors or safety risks—like missing a gas leak—are common clues. Always mention any unexplained change in these senses to your doctor.
Pressure on the cerebellum can make walking feel like navigating a moving boat. You may hug walls for support, spill drinks, or feel spinning vertigo when turning your head. Such balance problems heighten fall risk and should be addressed fast.
Raised brain pressure frequently sparks morning-dominant nausea that standard remedies barely touch. Ongoing vomiting—especially paired with headaches—signals a need for immediate evaluation to rule out tumor-related pressure.
Tumors affecting emotion-regulation centers can cause sudden depression, irritability, or sleep disruption. Because Depo-Provera itself alters hormones, these red flags are easy to miss. When mood changes arrive with physical symptoms above, push for a neurological work-up.

A 2024 BMJ study of 18,000 women confirmed a dose–duration relationship: over one year on Depo-Provera raises meningioma risk 5.6-fold. The synthetic hormone medroxyprogesterone acetate (MPA) binds to progesterone receptors on roughly 90 % of these tumors, acting like growth fuel.
Short-term use under a year shows minimal risk. Non-hormonal or combined estrogen–progestin contraceptives carry much lower meningioma rates.

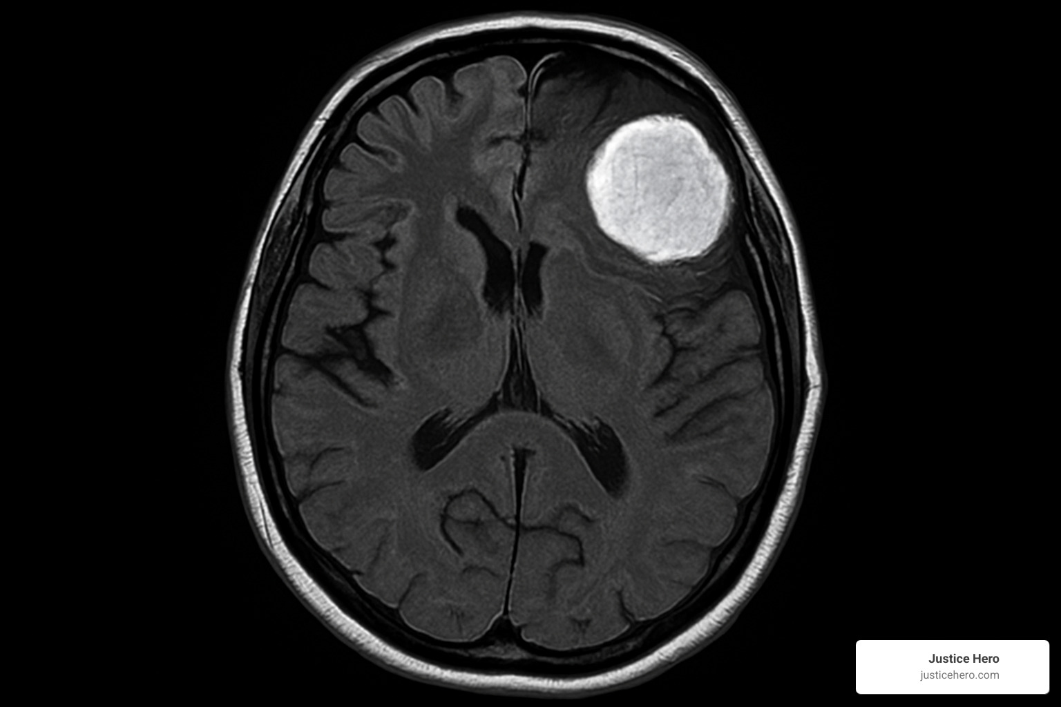
Seek care if headaches intensify, vision blurs, or any combination of the symptoms above appears. Doctors start with a neurological exam and usually order an MRI with contrast, the gold standard for spotting meningiomas.

Bring a symptom diary, your Depo-Provera injection dates, and family medical history to the appointment. If imaging confirms a tumor, your team will discuss monitoring versus surgery depending on size, location, and symptom severity.
Many lawsuits argue Pfizer failed to warn patients about meningioma risk. To qualify, most firms look for: at least one year of Depo-Provera use, a documented intracranial meningioma diagnosis, and medical records showing your injection history.
Cases are handled as a mass tort, letting individuals keep their unique damage claims while sharing resources.
Learn more about Does Depo-Provera Cause Brain Tumors?
Damages may cover medical costs, lost wages, future care, pain and suffering, and reduced quality of life. Many attorneys work on contingency—no fee unless they win compensation.
More information about Depo-Provera Lawsuit Compensation
Often, yes. A 2021 study showed an average 33 % shrinkage after stopping progestin drugs, though some tumors still require surgery.
Most reported cases involve at least 12 months of injections; risk climbs the longer you stay on the shot.
Yes. U.S. courts allow claims against the original manufacturer because generic labels rely on the brand-name safety data.
Women on Depo-Provera for more than a year face a dramatically higher risk of meningioma. If any of the symptoms on this list sound familiar, trust your instincts and get evaluated—early detection changes outcomes.
Justice Hero believes drug makers must warn patients about serious risks. If you’ve been diagnosed after using Depo-Provera, medical care comes first, but exploring your legal options can ease financial strain and push companies toward better transparency.
Your health matters. Your voice matters. If you need a free legal case review, visit our site to learn more about next steps.