Class action lawsuit Depo Provera cases are rapidly expanding as new research reveals shocking links between this popular birth control shot and dangerous brain tumors called meningiomas.
Quick Facts About Depo-Provera Lawsuits:
- Current Status: Multidistrict litigation (MDL-3140) consolidating cases in Florida federal court
- Key Allegation: Pfizer failed to warn users about increased brain tumor risk
- Eligibility: Women who used Depo-Provera for 12+ months and developed meningiomas
- Potential Compensation: Settlements estimated between $275,000-$800,000
- Filing Deadline: Varies by state (1-3 years from diagnosis or findy)
- Evidence Needed: Medical records, prescription history, tumor diagnosis
Recent studies published in The BMJ found that women using Depo-Provera for over a year face 5.6 times higher risk of developing meningioma brain tumors. With 74 million women worldwide having used this contraceptive, the scope of potential harm is staggering.
The litigation surge began in late 2024 when the first lawsuits alleged that Pfizer knew about these risks but failed to update warning labels in the United States—even while European countries required meningioma warnings years earlier.
As CEO of Mass Tort Strategies and Justice Hero, I've helped thousands of people steer complex medical class action lawsuits over the past decade. The class action lawsuit Depo Provera cases represent one of the most significant pharmaceutical litigations we've seen, with strong scientific evidence supporting claims against manufacturers.

Essential class action lawsuit depo provera terms:
- Depo Provera adverse effects
- Depo Provera lawsuit compensation
Imagine a birth control method so convenient that you only need to think about it four times a year. That's exactly what Depo-Provera promised when the FDA approved it back in 1992. This contraceptive injection contains medroxyprogesterone acetate, a synthetic version of the hormone progesterone that's given as a shot every three months.
Unlike birth control pills that contain estrogen, Depo-Provera is a progestin-only method that works by stopping ovulation, thickening cervical mucus, and thinning the uterine lining. This made it particularly appealing for women who were breastfeeding or couldn't use estrogen-containing contraceptives due to health conditions like blood clots or migraines.
But here's where things get concerning. The numbers tell a troubling story about who's been using this medication. According to CDC data, 42% of Black women and 27% of Hispanic women have used Depo-Provera at some point in their lives. Compare that to just 20% of white women and only 7% of Asian women. These stark differences have raised serious questions about whether pharmaceutical companies specifically targeted vulnerable communities without fully disclosing the risks.
What makes the current class action lawsuit Depo Provera situation even more frustrating is that Depo-Provera already carries the FDA's strongest warning—a black box warning—for bone density loss. The label clearly states that prolonged use can cause significant, potentially irreversible bone mineral density reduction.
Yet despite mounting evidence from international studies, U.S. labels still don't include warnings about meningioma brain tumor risks that have appeared on European and Canadian versions of the same medication for years. This delayed warning disclosure is at the heart of many lawsuits against Pfizer.
For more detailed information about how Depo-Provera works and its approved uses, you can review Scientific research on Depo-Provera uses.
Even before we learned about the brain tumor risks, Depo-Provera had quite a reputation for side effects. Many women experienced significant weight gain—sometimes 15 pounds or more in the first year. Others found their periods became completely irregular or stopped altogether, which could be either a blessing or a source of anxiety depending on your perspective.
The mood changes were particularly challenging for many users. Depression, anxiety, and mood swings became common complaints, sometimes severe enough that women had to discontinue the shot. Add in the headaches, fatigue, and decreased bone density, and you start to understand why some women felt like the convenience wasn't worth the trade-offs.
But the serious side effects are what really concern medical professionals. The severe bone loss leading to osteoporosis can happen surprisingly quickly, especially during the first two years of use. While some bone density may return after stopping the shot, the loss may not be completely reversible, particularly for older women.
There's also the risk of blood clots and deep vein thrombosis, along with potential stroke risk. Some studies have suggested a possible increased breast cancer risk, though this remains under investigation. Liver problems and severe allergic reactions, while rare, have also been reported.
Perhaps most frustrating for women trying to conceive is the delayed return to fertility. Unlike other birth control methods where fertility typically returns within a month or two, Depo-Provera can suppress ovulation for over a year after the last injection in some women.
For a comprehensive overview of all potential adverse effects, visit our detailed guide on Depo-Provera Adverse Effects.
The bone density warning came after studies showed women could lose significant bone mass, but it took years of evidence and advocacy to get that black box warning added. Now, with the brain tumor evidence mounting, many are asking why it's taking so long to update U.S. labels when other countries have already acted.
The link between Depo-Provera and brain tumors isn't just a theory—it's supported by compelling scientific research that's been building for years. Understanding this connection starts with looking at how hormones affect our brain tissue.
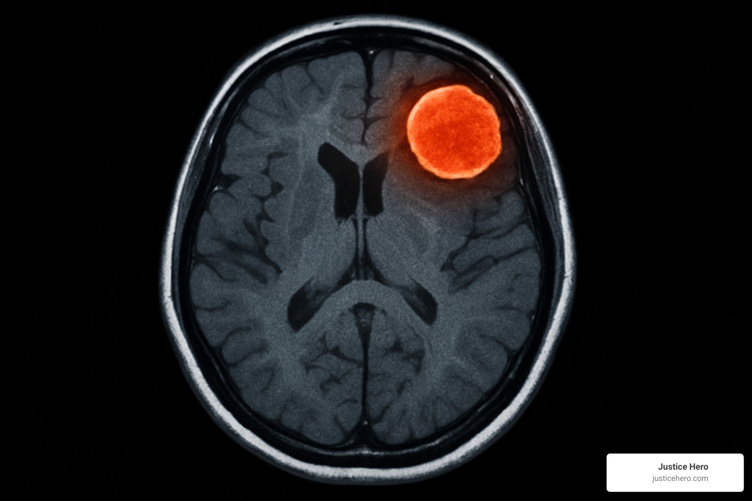
Meningiomas are tumors that grow in the meninges, which are like protective wrapping around your brain and spinal cord. While these tumors are usually not cancerous, they can cause serious problems when they get big enough to press against brain tissue. That's when doctors typically need to remove them surgically.
The game-changing evidence came from a major study published in The BMJ in March 2024. French researchers looked at data from over 108,000 women and made a startling find: women using medroxyprogesterone acetate (the hormone in Depo-Provera) had 5.55 times higher risk of developing brain tumors serious enough to require surgery.
What makes this even more concerning is that the research showed a clear pattern—the longer women used Depo-Provera, the higher their risk became. Women who used it for more than 12 months showed the biggest jump in risk.
A separate study from Sweden examined 117,503 cases and found 53% increased odds of meningioma diagnosis after receiving Depo-Provera shots. These findings are particularly troubling because they suggest the liftd risk doesn't just disappear when you stop getting the injections.
The biological explanation centers on hormone receptors found in meningioma cells. Scientists first identified these progesterone receptors in brain tumors back in 1983. Later studies in 1991 showed something remarkable: anti-progesterone therapy could actually shrink some meningiomas. This research helps explain why high-dose, long-acting progestins like those in Depo-Provera can fuel tumor growth.
For those interested in learning more about meningiomas and their characteristics, the Scientific research on meningiomas provides comprehensive medical information.

If you've used Depo-Provera, especially for more than a year, it's important to stay alert for warning signs that could indicate a meningioma. These symptoms often develop slowly since brain tumors typically grow gradually over time.
Severe headaches that get worse over time are often the first red flag. These aren't your typical stress headaches—they're persistent and may not respond well to over-the-counter pain medications. Many women describe them as different from any headaches they've experienced before.
Vision problems can range from blurred or double vision to partial or complete vision loss. These changes might start subtly, like difficulty reading small print or seeing clearly at distance. Seizures of any type are always serious and require immediate medical attention, especially if you've never had them before.
Memory issues and cognitive changes can be particularly frustrating. You might notice difficulty concentrating, problems finding words, or feeling mentally "foggy." Balance problems or coordination issues can make you feel unsteady on your feet or clumsy with everyday tasks.
Other important warning signs include hearing changes like ringing in your ears or hearing loss, personality changes that friends and family notice, numbness or weakness in your arms or legs, and speech difficulties. Some women also experience unexplained nausea and vomiting.
The tricky thing about meningiomas is that symptoms depend heavily on where the tumor is located in your brain. A tumor near areas controlling vision might primarily cause eye problems, while one affecting movement areas could cause weakness or coordination issues. Some tumors remain "silent" for years and are only found during brain scans done for other reasons.
If you're experiencing any combination of these symptoms and have a history of Depo-Provera use, don't wait—seek medical evaluation right away. Early detection can make a huge difference in treatment outcomes and is also crucial evidence for class action lawsuit Depo Provera claims.
When people search for class action lawsuit Depo Provera cases, they're actually looking at something called a multidistrict litigation (MDL). While it sounds complicated, this structure actually benefits victims by allowing coordinated legal proceedings while preserving each person's right to individual compensation.
In February 2025, the Judicial Panel on Multidistrict Litigation made a crucial decision. They consolidated all federal Depo-Provera cases into MDL-3140, assigning them to Judge M. Casey Rodgers in the Northern District of Florida. This move signals that the courts recognize the serious nature of these claims and the need for efficient case management.
The main defendants facing these lawsuits include Pfizer Inc. (the current manufacturer), Greenstone LLC (Pfizer's authorized generic subsidiary), and Viatris Inc. (another generic manufacturer). Here's where it gets interesting: even if you used a generic version of Depo-Provera, Pfizer can still be held responsible under "innovator liability" legal theory. This means the company that developed the original drug and its safety warnings remains accountable for harms caused by generic versions.
The growth in case filings has been remarkable. From the first lawsuit filed in October 2024, the MDL has expanded to over 289 cases by May 2025—a 122% growth rate in just one month. This rapid expansion reflects both the widespread use of Depo-Provera and the growing awareness of its potential brain tumor risks.
Understanding the difference between mass torts and class actions can help you make informed decisions about your legal options. Our detailed guide on Mass Tort vs Class Action explains these important distinctions.

The heart of the class action lawsuit Depo Provera MDL lies in several powerful allegations against Pfizer. These claims paint a picture of a company that knew about serious risks but failed to protect American women.
The most damning allegation centers on failure to warn. Plaintiffs argue that Pfizer knew or should have known about the increased meningioma risk but deliberately kept this information from patients and healthcare providers. What makes this particularly troubling is the double standard in their warning labels.
European Union and UK labels have included meningioma warnings since around 2020. Canadian labels have mentioned meningiomas as a post-market adverse reaction for nearly a decade. Yet U.S. labels still omit these critical warnings despite the same scientific evidence being available worldwide. This suggests that Pfizer made a conscious choice to withhold vital safety information from American women.
The negligent marketing claims focus on how Pfizer promoted Depo-Provera as a safe and convenient "set it and forget it" contraceptive. Marketing materials emphasized the convenience of quarterly injections while downplaying serious long-term risks. This created a false sense of security among users who weren't fully informed about potential complications.
Perhaps most concerning is the disproportionate impact on minority communities. With 42% of Black women and 27% of Hispanic women having used Depo-Provera compared to just 20% of white women, the failure to warn may have disproportionately harmed vulnerable populations who relied heavily on this contraceptive method.
Some lawsuits also include defective design claims, arguing that the 150mg dose of medroxyprogesterone acetate used in Depo-Provera creates unnecessarily high risks. These claims suggest that lower doses or different formulations could have provided effective contraception without the liftd brain tumor risk.
The MDL is moving at an impressive pace, which is encouraging news for potential plaintiffs. Judge Rodgers has already appointed a Special Master and data administrator to streamline case management, showing the court's commitment to efficient proceedings.
The timeline began rapidly in late 2024 when the first Depo-Provera lawsuit was filed in October, followed by additional cases throughout November and December. The February 7, 2025 creation of MDL-3140 marked a turning point, with leadership appointments and case management conferences following in the subsequent months.
Looking ahead, the projected timeline includes a findy phase and document production throughout 2025 and 2026, with expert witness depositions helping build the scientific foundation for these cases. The real test will come in Q4 2026 with potential bellwether trials—these early cases will help determine the strength of plaintiffs' claims and guide future settlement negotiations.
If the bellwether trials go well for plaintiffs, we could see global settlement negotiations beginning in 2027. This timeline is actually faster than many pharmaceutical mass torts, which often drag on for years. The strong scientific evidence and clear documentation of Pfizer's different warning practices internationally may be contributing to this accelerated schedule.
The rapid case growth and efficient court management suggest that this class action lawsuit Depo Provera MDL could resolve more quickly than typical pharmaceutical litigation, potentially bringing relief to affected women sooner rather than later.
If you've used Depo-Provera and developed a brain tumor, you might be wondering whether you qualify for the class action lawsuit Depo Provera MDL. The eligibility requirements are more straightforward than you might expect, and many women who used this contraceptive shot may have valid claims.
The most important requirement is that you received at least two Depo-Provera injections or used it for 12 consecutive months or longer. Since each injection lasts three months, this typically means you were on Depo-Provera for at least six months to a year. The scientific studies showing increased brain tumor risk focused on women with this level of exposure.
You'll also need a confirmed meningioma diagnosis that occurred after you started using Depo-Provera. This includes both brain and spinal meningiomas, whether they required surgery or are being monitored. The diagnosis should have happened at least three years after you began using the contraceptive, as meningiomas typically grow slowly.
Most cases involve women who were 70 or younger when diagnosed, though exceptions may apply depending on your specific circumstances. The good news is that you may still qualify even if you stopped using Depo-Provera years before your tumor was found, since the effects can persist long after discontinuation.
Both brand-name and generic versions count under legal theories that hold the original manufacturer responsible for all versions of the drug. This includes Depo-Provera, Depo-SubQ Provera 104, and authorized generics made by companies like Greenstone.
The statute of limitations varies significantly by state, typically ranging from one to three years. However, many states apply something called the "findy rule," which means the clock starts ticking when you reasonably should have known about the connection between Depo-Provera and your tumor—not necessarily when you were first diagnosed. This can extend your filing deadline considerably.
For families who lost loved ones, estate claims may be possible in certain circumstances. Each situation is unique, so it's worth consulting with an attorney even if you're unsure about timing or eligibility.
For detailed information about what kind of compensation might be available, visit our comprehensive guide on Depo-Provera Lawsuit Compensation.

Building a strong case requires gathering the right documentation, and it's much easier to collect this evidence sooner rather than later. Medical records can be difficult to obtain years after treatment, and memories naturally fade over time.
The most crucial evidence is your complete Depo-Provera prescription history showing dates, dosages, and how long you used the contraceptive. Your doctor's office, pharmacy records, or insurance company may have this information. Don't worry if you can't remember exact dates—your attorney can help track down these records.
You'll also need medical imaging and pathology reports that confirm your meningioma diagnosis. This includes MRI scans, CT scans, or other imaging that shows the tumor, along with any biopsy or pathology reports. All treatment records are important too, whether you had surgery, radiation, ongoing monitoring, or other interventions.
Financial documentation helps establish the full impact of your diagnosis. This includes medical bills, insurance statements, employment records showing missed work, and receipts for out-of-pocket expenses. If your tumor has affected your ability to work or earn income, documentation of these losses strengthens your case significantly.
Don't overlook the personal impact evidence that shows how the tumor has affected your daily life. A symptom diary, witness statements from family or friends who've observed changes, and mental health treatment records all help paint a complete picture of your experience.
The earlier you start collecting this evidence, the stronger your case will be. Even if some records seem minor, they might prove crucial later in the legal process.
Filing a Depo-Provera lawsuit involves several important steps, but the process has been streamlined thanks to the MDL structure. The first and most important step is consulting with an experienced mass tort attorney who understands pharmaceutical litigation and MDL proceedings. This type of case requires specialized knowledge that not all personal injury lawyers possess.
During your case evaluation, your attorney will review your medical history, Depo-Provera usage timeline, and damages to determine whether you have a viable claim. They'll also help you understand the potential value of your case and what to expect throughout the legal process.
One advantage of the current MDL is that Judge Rodgers has authorized direct filing in the Florida MDL, which bypasses the usual transfer process and speeds up the timeline. This means your case can be filed directly where all the other cases are being handled, avoiding delays.
Once your case is filed, you'll participate in coordinated findy along with other plaintiffs. This includes document production and potentially depositions, but the process is streamlined compared to individual lawsuits filed in different courts.
Your case may resolve through individual settlement negotiations or proceed to trial as part of bellwether groups that test the strength of different types of claims. Most mass tort cases settle rather than go to trial, but having strong trial lawyers is crucial for achieving fair settlements.
Timing is critical because statutes of limitations vary by state, typically ranging from one to six years. The findy rule may extend these deadlines in some cases, and equitable tolling might apply in certain circumstances, but waiting too long can limit your legal options.
Don't wait to explore your options, even if you're unsure about eligibility. A consultation with a qualified attorney can clarify your rights, preserve important deadlines, and help you understand whether joining the class action lawsuit Depo Provera MDL makes sense for your situation.
When families ask me about potential compensation in class action lawsuit Depo Provera cases, I always emphasize that every situation is unique. However, based on my experience with similar pharmaceutical litigation and meningioma medical malpractice cases, we can provide some realistic expectations.
Current settlement estimates range from $275,000 to $800,000 for most cases, with some exceptional circumstances potentially reaching over $1 million. These projections aren't pulled from thin air—they're based on careful analysis of comparable brain tumor cases and pharmaceutical mass tort outcomes.
Trial verdicts tell a different story and often reach much higher amounts. Medical malpractice cases involving meningioma complications have resulted in verdicts exceeding $3 million. Given the strong scientific evidence linking Depo-Provera to brain tumors, we expect trial outcomes in this litigation could reach similar levels.
The wide range in potential compensation reflects the reality that meningioma cases vary dramatically in severity. A woman who needed emergency brain surgery and can no longer work will obviously have a much stronger case than someone whose small tumor was caught early and only requires monitoring.
Medical severity drives most of the value in these cases. Factors like tumor size and location, whether surgery was required, the number of treatments needed, and any ongoing neurological problems all significantly impact compensation. Cases involving multiple surgeries or permanent disabilities naturally command higher settlements.
Economic damages form the foundation of every claim. This includes all past medical expenses, future treatment costs, lost wages, and reduced earning capacity if brain surgery affected your ability to work. We've seen cases where ongoing care costs alone exceed $500,000 over a lifetime.
Non-economic damages address the human cost—the pain and suffering from the tumor and treatment, mental anguish, loss of enjoyment of life, and impact on relationships. These damages often represent the largest portion of settlements in severe cases.

While brain tumor litigation against Depo-Provera is relatively new, previous settlements involving this medication provide helpful context for expectations.
In 2021, a Canadian class action settlement for bone density loss exceeded $2 million. This case involved women who used Depo-Provera before May 2010 and suffered significant bone loss—a less severe complication than brain tumors.
Individual meningioma medical malpractice cases have historically averaged over $800,000 in settlements, according to research from the National Library of Medicine. Trial verdicts in similar cases often exceed $3 million, particularly when permanent neurological damage occurs.
Looking at comparable pharmaceutical litigation, the Essure birth control device cases resulted in Bayer settling approximately 90% of 39,000 claims for $1.6 billion. However, class action lawsuit Depo Provera cases may command higher individual values due to the severity of brain tumor complications compared to other contraceptive device injuries.
Successful class action lawsuit Depo Provera plaintiffs can recover comprehensive compensation covering both financial losses and personal suffering.
Economic damages include all past medical expenses related to your meningioma diagnosis and treatment, future medical costs including ongoing monitoring and potential surgeries, lost wages from time off work, and reduced earning capacity if neurological deficits affect your ability to work. We also pursue costs for home care, rehabilitation, or adaptive equipment you might need.
Non-economic damages address the personal impact—pain and suffering from the tumor and treatment, mental anguish and emotional distress, loss of enjoyment of life and activities, impact on relationships and intimacy, and any disfigurement or scarring from surgery.
In cases where Pfizer's conduct is found particularly egregious, courts may also award punitive damages designed to punish the company and deter similar conduct in the future.
The key is documenting everything thoroughly. Keep all medical records, track every expense, and don't hesitate to discuss how this diagnosis has affected your daily life. These details become crucial when negotiating fair compensation.
For comprehensive information about potential compensation ranges and factors that influence settlement amounts, visit our detailed guide on Mass Tort Settlement Amounts.
When facing a potential class action lawsuit Depo Provera claim, you likely have many questions about the legal process, deadlines, and how filing might affect your life. These are some of the most common concerns we hear from women considering legal action.
The filing deadline for your Depo-Provera lawsuit depends on where you live, but don't panic if you were diagnosed years ago. Most states give you between one to six years to file, but the timeline can be more complicated than it first appears.
Here's the key: many states use something called the "findy rule." This means the clock doesn't start ticking when you were first diagnosed with a meningioma. Instead, it begins when you reasonably should have known that Depo-Provera caused your brain tumor.
Since the connection between Depo-Provera and meningiomas only became widely publicized in 2024 with the major research studies, many attorneys argue that the findy rule extends deadlines for women diagnosed in previous years. This could give you much more time than you think.
State deadlines vary significantly. Alabama gives you two years, California provides two years from findy, Florida allows four years for product liability cases, and Texas offers two years from findy. But these are just examples—every state has different rules.
The bottom line? Don't assume you've missed your window. Even if your diagnosis was several years ago, you may still have valid legal options. The only way to know for sure is to speak with an experienced attorney who can review your specific situation and state laws.
Absolutely yes! Using a generic version of Depo-Provera doesn't disqualify you from joining the litigation. In fact, this is one of the strongest aspects of these cases.
Under a legal principle called "innovator liability," Pfizer can be held responsible for injuries caused by generic versions of their medication. This might seem surprising, but it makes perfect sense when you understand how the system works.
Generic drug manufacturers don't conduct their own safety studies. Instead, they rely entirely on the original research and safety data developed by companies like Pfizer. When Pfizer fails to update warning labels or hides safety risks, those same problems carry over to every generic version.
This applies to several versions you might have received, including Greenstone LLC generic (which is actually a Pfizer subsidiary), Viatris generic versions, and other FDA-approved generic formulations. The key requirement is that your generic must be an "authorized" version that relied on Pfizer's original safety data.
So whether you received the brand-name shot or picked up a generic version at your local pharmacy, you have the same legal rights. The class action lawsuit Depo Provera MDL includes cases involving all these different versions.
This is probably the most important question, and I want to put your mind at ease: filing a lawsuit should absolutely not affect your ongoing medical treatment. Your doctors have both ethical and legal obligations to provide you with appropriate care, regardless of any legal action you might be pursuing.
Your health must always come first. Never delay necessary medical treatment or skip appointments because you're worried about how it might affect your case. In fact, staying on top of your medical care actually strengthens your legal claim by properly documenting your condition and treatment needs.
That said, there are some practical things you should know about. Your medical records will become part of your legal case, which means they'll be reviewed by attorneys and possibly shared with defendants. You might also need to undergo independent medical examinations where doctors chosen by the other side evaluate your condition.
Some people notice that insurance companies scrutinize claims more carefully when they know litigation is involved. This doesn't mean they'll deny coverage, but they might ask more questions or request additional documentation.
The most important thing is to keep your attorney informed about any new treatments, changes in your condition, or additional medical issues that arise. This helps them build the strongest possible case while ensuring nothing interferes with your care.
Thousands of people pursue legal claims while continuing to receive excellent medical treatment. The two processes can and should work together to protect both your health and your legal rights.
The class action lawsuit Depo Provera litigation stands as a pivotal moment for women who trusted a medication that may have put their lives at risk. After decades of use, we now have compelling scientific evidence showing that Depo-Provera increases brain tumor risk by more than five times—yet American women are still not receiving the same warnings that appear on labels in Europe and Canada.
This isn't just about legal technicalities or corporate liability. It's about real women who developed serious brain tumors after using a contraceptive they believed was safe. It's about the 42% of Black women and 27% of Hispanic women who used Depo-Provera at disproportionate rates, often without knowing about risks that Pfizer had reason to understand.
At Justice Hero, we've spent years helping people steer complex legal battles against corporations that put profits before people's safety. The class action lawsuit Depo Provera MDL represents one of the strongest pharmaceutical liability cases we've seen, with robust scientific evidence, clear corporate knowledge of risks, and a well-organized legal framework moving efficiently through federal court.
What Makes This Case Different:
The timeline is moving faster than typical mass tort litigation. With cases already consolidated in Florida federal court and bellwether trials projected for late 2026, women who qualify need to act quickly to preserve their rights.
Settlement estimates ranging from $275,000 to over $800,000 reflect the serious nature of brain tumor complications and the strength of failure-to-warn claims against Pfizer. These aren't just numbers—they represent compensation for surgeries, lost wages, ongoing medical care, and the profound impact of living with a brain tumor.
Your Path Forward Starts Today:
If you used Depo-Provera for 12 months or longer and developed a meningioma, you likely have legal options worth exploring. The findy rule may extend filing deadlines beyond your initial diagnosis date, especially since the Depo-Provera connection only became widely known in 2024.
Even if you used generic versions or stopped Depo-Provera years ago, you may still qualify under innovator liability theory. The key is getting your case evaluated by experienced mass tort attorneys who understand the nuances of this rapidly evolving litigation.
Visit our comprehensive all lawsuits hub to start your free evaluation today. Our legal information specialists can review your situation, explain your options in plain English, and connect you with qualified attorneys who handle Depo-Provera brain tumor cases.
The Bigger Picture:
Taking action isn't just about your individual case—it's about holding pharmaceutical companies accountable when they fail to protect the women who trust their products. Every case filed sends a message that corporate negligence has real consequences.
The pharmaceutical industry has deep pockets and teams of lawyers, but they can't ignore the growing mountain of scientific evidence or the voices of women demanding justice. Your case could be part of the pressure that finally forces proper warnings and prevents future harm to other women.
Time matters in these cases. Evidence preservation, witness memories, and legal deadlines all favor prompt action. Don't let uncertainty about eligibility or the legal process prevent you from exploring what could be life-changing compensation for you and your family.
Your fight for justice and accountability starts with a simple step—reaching out to learn about your rights. The path forward may be clearer than you think, and the potential compensation could provide the financial security you need while you focus on your health and recovery.